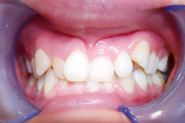
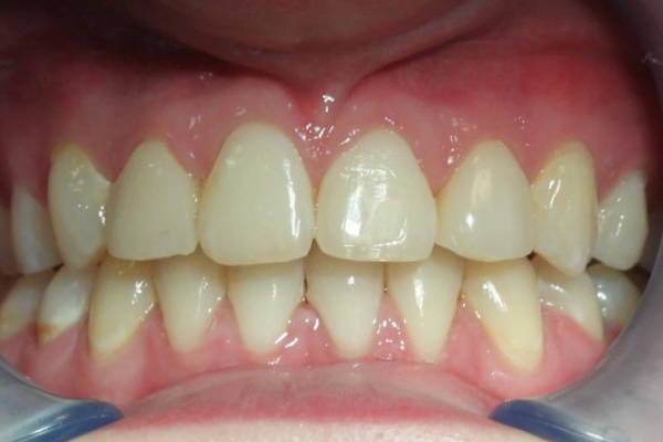
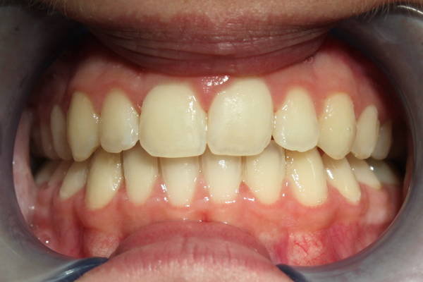
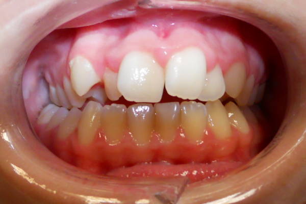
Esthetische tandheelkunde

Een mooi en verzorgd gebit is uw visitekaartje. Hedendaagse tandheelkunde is meer dan gaatjes vullen en tandpijn voorkomen.
U kunt uw gebit bij ons laten verfraaien door middel van stand-, vorm- en kleur correcties als witte kronen, facings en composietvullingen, maar ook met behulp van orthodontie, implantologie, facings of door uw tanden te laten bleken.
Wilt u weten hoe u uw lach bij ons kunt laten verfraaien? Dan neemt u contact met ons - per e-mail of telefoon - op voor het maken van een afspraak bij een van onze tandartsen.