Behandelingen

Esthetische vullingen (composiet facings/schildjes)

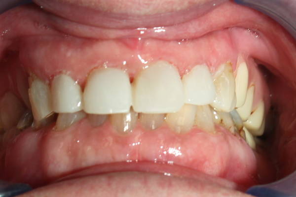
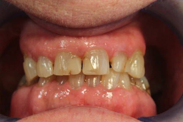
Oneffenheden, verkleuringen, spleetjes, afgebroken stukjes tand of kies of een scheefstand kunnen door middel van esthetische vullingen (ook composiet facings/schildjes benoemd) aangepakt worden waardoor het gebit weer een gezonde uitstraling krijgt.

Deze behandeling kan meestal in 1-2 afspraken gebeuren en is gemakkelijker (en goedkoper) uit te voeren dan een porseleinen facings behandeling. Ons team is gespecialiseerd in esthetische vullingen, maak ook kennis met onze tandartspraktijk voor de regio Landsmeer, Oostzaan, Zaandam, Purmerend en Amsterdam-Noord of neem contact op.

Hier is een voorbeeld van een patient:

Een vraag, afspraak maken of inschrijven als nieuwe patient?

Wij zorgen voor een prettige en vriendelijke sfeer, heldere communicatie en bieden persoonlijke aandacht aan iedere patiënt.

Contact opnemen